EMBO Journal: Investigadores del CNIC descubren una nueva diana para el tratamiento del hígado graso
Las proteínas 38 gamma y p38 delta son las responsables de controlar la acumulación de grasas en el hígado
Dos proteínas, p38 gamma y p38 delta, son las responsables de controlar la acumulación de grasas en el hígado, lo que favorece el desarrollo de resistencia a la insulina y diabetes, dos eventos asociados con la obesidad. Lo explica un artículo realizado por un grupo de investigadores del Centro Nacional de Investigaciones Cardiovasculares Carlos III (CNIC), dirigido por la Dra. Guadalupe Sabio, que muestra que actuar sobre estas proteínas mediante fármacos específicos podría convertirse en un tratamiento adecuado para el hígado graso o esteatosis. Los resultados se publican en la revista EMBO Journal.
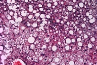
La acumulación excesiva de grasa en el hígado o esteatosis es una de las enfermedades más frecuentes en las sociedades occidentales, ya que se calcula que casi el 30% de la población adulta puede padecerla. Esta patología puede estar causada en ocasiones por la obesidad, la diabetes o a la ingesta excesiva de alcohol. Y sus consecuencias pueden ser graves: el hígado graso puede provocar cirrosis y fallo hepático, favorecer el desarrollo de diabetes e incluso promover el cáncer hepático. Actualmente existen pocas alternativas terapéuticas para tratar esta enfermedad.
Actualmente existen pocas alternativas terapéuticas para tratar la esteatosis o hígado graso
Hasta ahora se sabía que la esteatosis se inicia con una acumulación excesiva de triglicéridos en el hígado, lo que estimula una respuesta inflamatoria. Debido a que también se conoce que las proteínas p38 gamma y p38 delta contribuyen a la inflamación en diferentes enfermedades, los investigadores del CNIC han podido observar en esta ocasión que los hígados de pacientes obesos presentan niveles elevados de p38 gamma y delta.
Gracias al empleo de ratones que carecen de las proteínas p38 gamma y p38 delta en un tipo de células inflamatorias, los neutrófilos, los investigadores han demostrado que estas dos proteínas controlan la migración de dichas células inflamatorias al hígado. Y, explican, “la llegada de estas células es necesaria para la acumulación de grasa en este tejido”. Por tanto, añaden, la inhibición de su migración en los animales que carecen de las proteínas p38 gamma y p38 delta sería suficiente para protegerlos de la aparición del hígado graso, además de prevenir inflamación, el daño hepático e incluso la diabetes asociada a la obesidad.
Prevención
Para la Dra. Sabio, este descubrimiento no solo ayuda a lograr una mejor comprensión de los mecanismos implicados en el desarrollo de la enfermedad, sino que además podría favorecer el desarrollo de tratamientos para la misma, y también, algo muy relevante, para prevenirla. Actualmente, señala la investigadora, la única forma de determinar en personas obesas si se está produciendo este “reclutamiento de neutrófilos” es a través de la biopsia hepática, pero ahora se podrían administrar fármacos específicos para evitarlo. Además, añade la Dra. Sabio, “el hallazgo podría ayudar a tratar otras enfermedades relacionadas con el reclutamiento de los neutrófilos al hígado”.
La enfermedad puede estar causada en ocasiones por la obesidad, la diabetes o a la ingesta excesiva de alcohol
La investigación se ha desarrollado en colaboración con el equipo del Dr. Miguel Marcos, del Hospital Universitario de Salamanca-IBSAL, en su parte clínica, mientras que el trabajo de laboratorio ha sido realizado por Bárbara González-Terán, y las Dras. Nuria Matesanz e Ivana Nikolic, del CNIC, en colaboración con investigadores del CIMUS, Universidad de Santiago de Compostela-Instituto de Investigación Sanitaria, y del Centro Nacional de Biotecnología/CSIC, de Madrid.











