Nature Communications: Prevenir la hipertensión con fármacos antihipertensivos evita la formación de una enfermedad vascular mortal
Los resultados del estudio, publicado en la revista Nature Communications, han permitido identificar varias proteínas implicadas en esta enfermedad
Investigadores del Centro Nacional de Investigaciones Cardiovasculares (CNIC) y del Consejo Superior de Investigaciones Científicas (CSIC) han descubierto que el control eficaz de la hipertensión arterial mediante el uso de fármacos anti-hipertensivos evita el desarrollo del hematoma intramural áortico, una enfermedad grave y potencialmente mortal. La investigación ha permitido además identificar distintas proteínas implicadas en esta enfermedad y sus autores han generado un modelo preclínico para el estudio del hematoma intramural, lo que facilitará la evaluación de fármacos para su tratamiento. Este trabajo, publicado en la revista Nature Communications, ha sido codirigido por el Dr. Miguel Campanero, del Instituto de Investigaciones Biomédicas Alberto Sols (CSIC), y el Dr. Juan Miguel Redondo, del CNIC.
El hematoma intramural consiste en una acumulación de sangre dentro de la pared de la aorta sin disección (desgarro) de su capa íntima (la capa más interna, en contacto con el torrente circulatorio). En los pacientes afectos, el hematoma intramural puede, en su fase aguda, reabsorberse espontáneamente o evolucionar con rapidez a disección aórtica en su fase aguda, explican los investigadores. Por otro lado, la evolución más común a largo plazo de esta enfermedad conduce hacia el desarrollo de un aneurisma, es decir, una dilatación o ensanchamiento anómalo de una porción de la aorta, que también puede provocar su rotura y, por lo tanto, la muerte del paciente.
Tanto el hematoma intramural como el aneurisma son patologías indolentes que ocasionan una sintomatología mínima o casi nula, señala el Dr. Redondo, pero debido al riesgo de desgarro súbito que comportan, “requieren un diagnóstico precoz y certero, un seguimiento riguroso tras su detección y un tratamiento adecuado”, afirma el Dr. Campanero. Dado que no existen tratamientos farmacológicos validados que prevengan la evolución desfavorable, el tratamiento quirúrgico es el único eficaz, particularmente para los hematomas de mayor tamaño y los que afectan a segmentos iniciales de la aorta. Sin embargo, la cirugía no está exenta de riesgo. Por ello, subrayan los autores del trabajo, “resulta imprescindible identificar los mecanismos responsables de la formación del hematoma intramural con objeto de desarrollar fármacos que prevengan de forma eficaz su progresión catastrófica”.
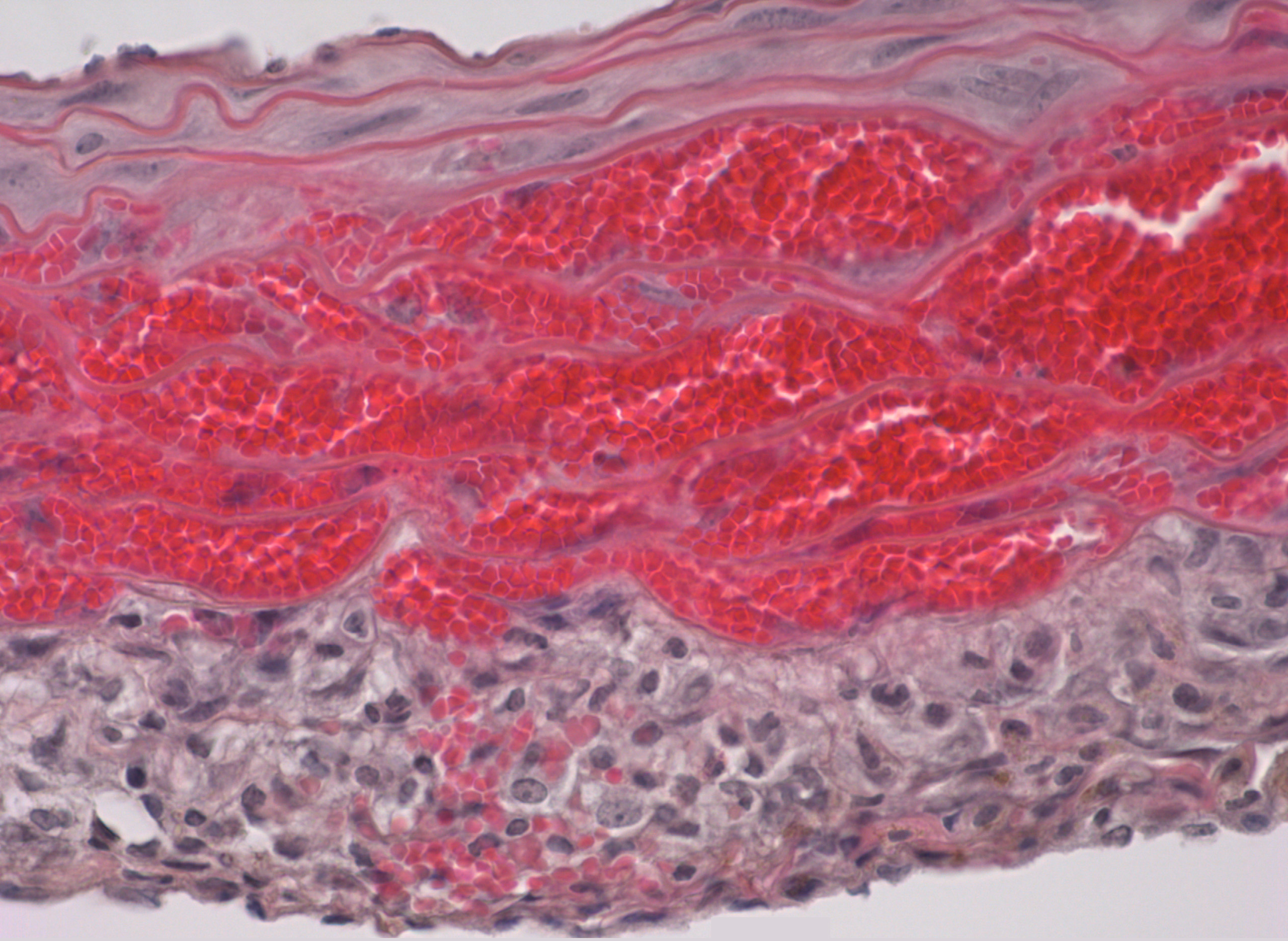
Los investigadores han generado un modelo animal que reproduce con un alto grado de fidelidad muchas de las características de la enfermedad humana y que ha permitido profundizar en los mecanismos moleculares involucrados en la formación y evolución del hematoma intramural. De esta forma, han descubierto que la presión arterial elevada es un detonante de esta patología. El Dr. Campanero explica: “Hemos descubierto que los ratones en los que inducimos la deficiencia de la proteína Rcan1 en edad adulta son extraordinariamente sensibles a la formación del hematoma intramural en la arteria aorta y a su posterior rotura en respuesta a diversos estímulos que aumentan la presión arterial”. Por otra parte, añade el Dr. Redondo, “nuestro estudio muestra que diversos fármacos usados habitualmente para reducir la presión arterial en humanos y en ratones previenen completamente la formación del hematoma intramural en el modelo preclínico que hemos generado”.
Mecanismos moleculares
Los investigadores han analizado también los mecanismos moleculares involucrados en la formación del hematoma intramural. Así, los resultados de la investigación demuestran que al inducir la deficiencia de Rcan1 en las células de la pared vascular se activa la proteína MLC (cadena ligera de miosina), la cual está implicada en la constricción de los vasos. El estudio, aseguran, muestra que “la inhibición farmacológica de la activación de MLC previene eficientemente la formación del hematoma intramural”.
Hemos descubierto que los ratones en los que inducimos la deficiencia de la proteína Rcan1 en edad adulta son extraordinariamente sensibles a la formación del hematoma intramural en la arteria aorta y a su posterior rotura en respuesta a diversos estímulos que aumentan la presión arterial
En colaboración con la Unidad de Proteómica del CNIC, los investigadores han profundizado más en el mecanismo identificando proteínas capaces de interaccionar con Rcan1. “Hemos identificado 11 proteínas que se asocian específicamente a Rcan1 y pensamos que una de ellas, la proteína Gsk3-ß, tenía un gran potencial como posible mediadora de la formación del hematoma intramural”, asegura el Dr. Redondo. “De hecho, inhibidores de Gsk3-ß, como el cloruro de litio, previenen muy eficientemente la activación de MLC en las células de la parted aórtica, por lo que ahora vamos a probar su eficacia para prevenir la formación del hematoma intramural y su progresión”, señala el Dr. Campanero.
Trastornos psiquiátricos
Dado que los inhibidores de Gsk3-ß se han empleado desde hace décadas para el tratamiento de diversos trastornos psiquiátricos, los investigadores sugieren el interés de comparar las incidencias del hematoma intramural, de las disecciones aórticas y de los aneurismas en esta población con las de la población general. “Ahora que disponemos de un buen modelo preclínico de hematoma intramural, podemos estudiar en mayor detalle los mecanismos involucrados en su evolución catastrófica y empezar a evaluar fármacos que la frenen o la detengan”, concluyen los investigadores.
El estudio ha sido financiado por el Ministerio de Ciencia, Investigación y Universidades, la Comunidad de Madrid, el CSIC, la Fundación Pro CNIC, The Marfan Foundation (EEUU), la Fundación La Marató y el CIBER de cardiovascular (CIBER-CV) del Instituto de Salud Carlos III.











