EMBO Molecular Medicine: Descubren un nuevo mecanismo inmune contra el cáncer
Investigadores del Centro Nacional de Investigaciones Cardiovasculares (CNIC) han descubierto por primera vez un mecanismo de protección contra el desarrollo de cáncer asociado a procesos inflamatorios
EMBO Molecular Medicine - 9 de septiembre de 2015
El equipo dirigido por la Dra. Almudena R Ramiro ha identificado un mecanismo por el cual el sistema inmune es capaz de reconocer células epiteliales que acumulan mutaciones y daño en el DNA, impidiendo la aparición de tumores.
La proteína AID es fundamental para el desarrollo de una respuesta inmune adecuada, ya que su función permite la producción de anticuerpos, capaces de reconocer, virtualmente, cualquier patógeno con el que el cuerpo entre en contacto. La actividad de esta proteína se basa en la introducción de mutaciones en los genes de las inmunoglobulinas en linfocitos B, que codifican para las moléculas de anticuerpos. Aunque existen numerosos sistemas que controlan que la actividad de AID se lleve a cabo de forma correcta se sabe que si fallan pueden aparecer linfomas. Además, algunas evidencias apuntan a que un mal funcionamiento de esta proteína podría estar implicada en el desarrollo de tumores epiteliales como consecuencia de procesos inflamatorios crónicos.
Estos indicios llevaron a los autores de este estudio a investigar a fondo la contribución de esta proteína al desarrollo de carcinomas en modelos generados en el laboratorio. Los autores revelan que la presencia de AID en células epiteliales da lugar a la aparición de células pre-tumorales, con una alta tasa proliferativa y que acumulan mutaciones, pero esto lo que produce es una activación de una respuesta inmune del organismo contra el daño en el DNA, principalmente a través de otro tipo de linfocitos, los linfocitos T citotóxicos, que destruyen las células pre-tumorales. De esta manera, el sistema inmune es capaz de detectar e impedir que las células que presentan alteraciones en su DNA se expandan, evitando así que puedan generar un tumor.
Este trabajo supone un gran avance en el campo de la investigación de los mecanismos que regulan la proteína AID, y describe por primera vez un mecanismo extrínseco encargado de bloquear el potencial oncogénico de esta proteína.

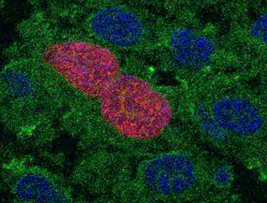
Pie de figura: Imagen representativa de la proliferación inducida por la presencia de AID en células epiteliales de páncreas.

De Izquierda a derecha: Sonia Mur, Almudena Ramiro, Arantxa Perez-Garcia.










